Emergency departments rely on imaging to evaluate injuries, guide treatment decisions, and support patient stabilization.
Relevant solutions include:
Clinical Value in Emergency Settings
Emergency imaging plays a central role in evaluating traumatic injuries and acute medical conditions.

pneumothorax or other life-threatening chest injuries

rib fractures and skeletal trauma

lung disease or infection

device placement following emergency procedures
33%
more pneumonia cases found compared to X-ray thanks to dual-energy images⁴
43%
more lesion visibility when dual-energy images were included³
Better
visibility of lines and tube tips without extra reading times⁵
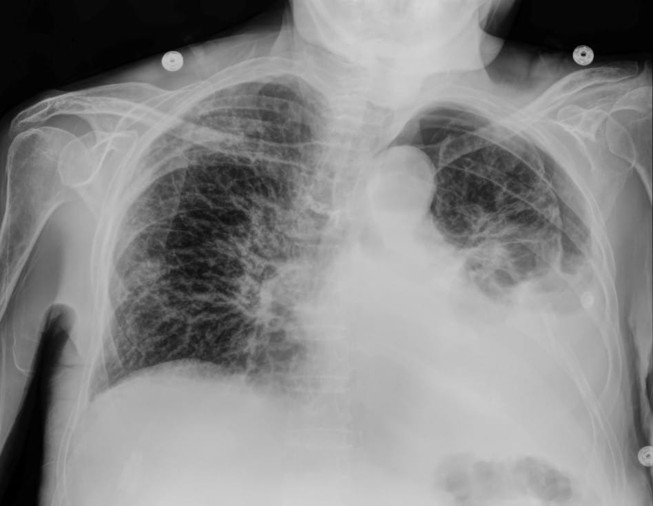
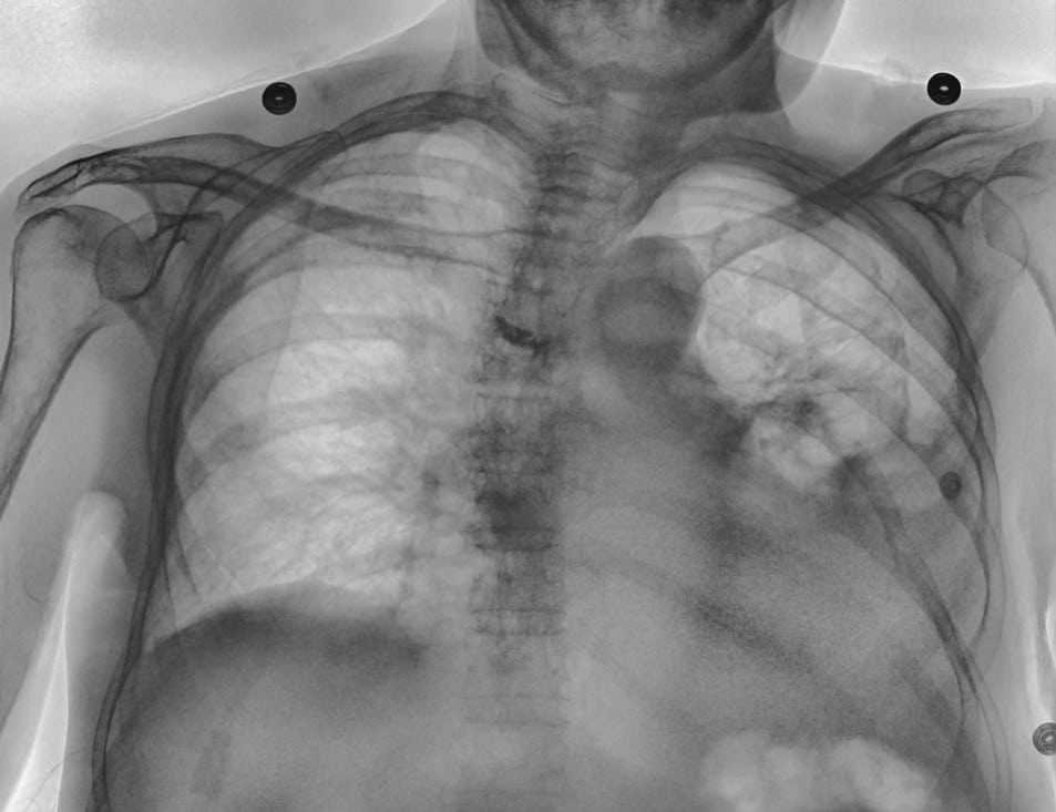
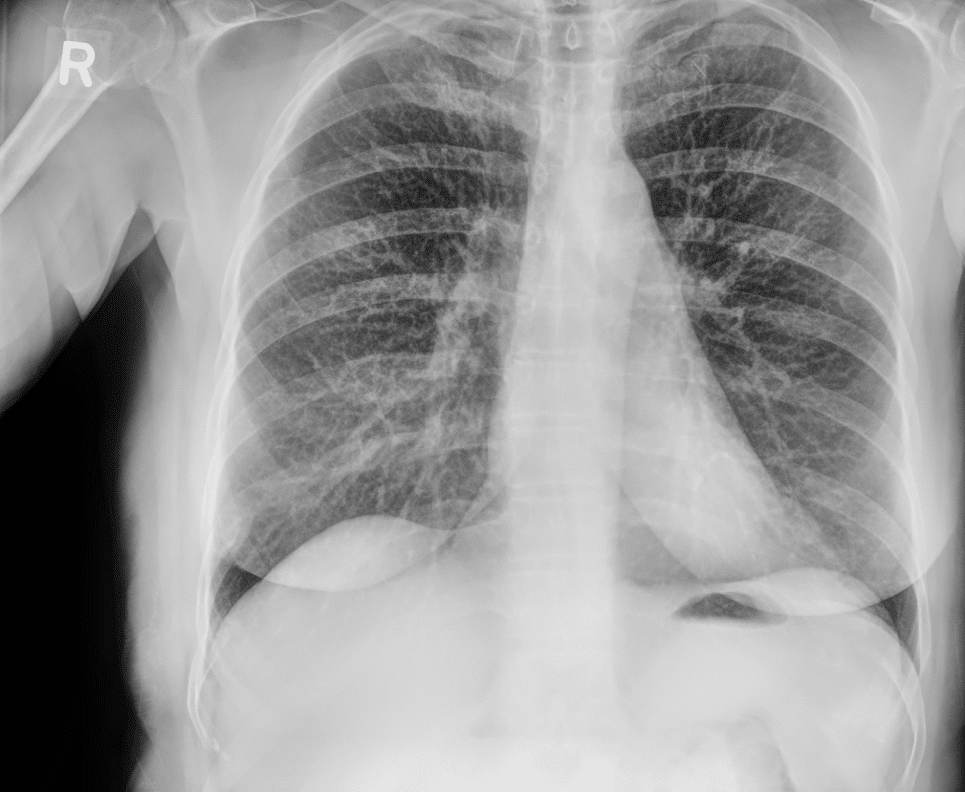
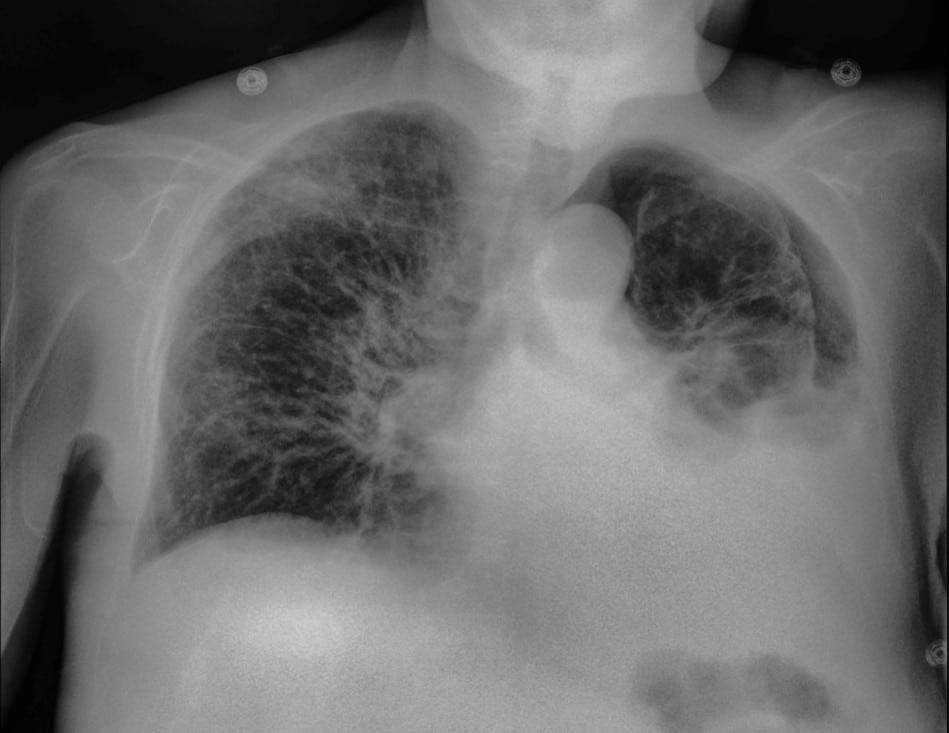
In this case, the conventional DR image shows subtle findings. The spectral soft-tissue image reduces overlying bone, making the pneumothorax more conspicuous. The corresponding bone-selective image highlights a rib fracture, a potential underlying cause of the pneumothorax.
Spectral Imaging at the Point of Care
Each exposure produces:
- a conventional digital radiography image
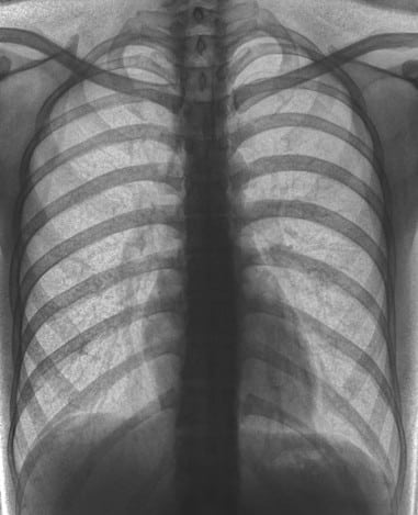
- a bone image
- a soft-tissue image
Key Clinical Scenarios in Emergency & Trauma Imaging
Pneumothorax Evaluation
Soft-tissue images reduce rib overlap and may improve visualization of pneumothorax in trauma patients.
Rib and Skeletal Trauma
Lung Injury and Pulmonary Abnormalities
Related Applications
Critical Care & Bedside Imaging
Chest Imaging
Global Health Imaging
Enhance Imaging in Emergency and Trauma Care
Latest blogs
For critically ill or post-surgical patients, transporting them to a dedicated radiology department is a…
Medical imaging plays a critical role in diagnosis, treatment planning, and patient monitoring. The goal…
Tube and line placement confirmation is often treated as a simple visibility check — if…
