How Dual-Energy Imaging with Reveal 35C Enhances ICU and ED X-ray Diagnostics

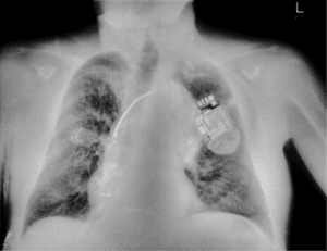
Digital radiography showing a patient, and the region of interest in the right lung is difficult to assess due to overlapping ribs and ECG clip. This is a common challenge in portable ICU imaging.In critical care, clarity isn’t a luxury — it’s a necessity.

Consider the following case: a mechanically ventilated ICU patient shows signs of respiratory distress. A portable chest X-ray is ordered. On the standard digital radiograph, the region of interest in the right lung appears ambiguous. Overlapping ribs and an ECG clip obscure the view — making it difficult to determine whether a consolidative process is evolving. There’s no time to reposition the patient. CT is not an option.

The soft tissue image obtained with Reveal 35C highlights the lesion more clearly.What if you could remove the visual noise?

With SpectralDR® technology in the Reveal™ 35C detector, that same exposure produces a soft-tissue-only image — subtracting the bone and medical hardware. The result: a clearly defined area of consolidation in the right lung, enabling a more confident, real-time clinical decision.

This is the power of dual-energy imaging brought to the bedside. And in high-acuity environments like the emergency department (ED) and intensive care unit (ICU), every image must pull its weight.

 

When Standard Imaging Falls Short

Conventional X-ray remains the workhorse of hospital imaging — but in high-stakes environments, its limitations are exposed:

  • Overlapping anatomy obscures key structures
  • Diagnostic ambiguity increases reliance on follow-up CTs
  • Portable imaging often suffers from motion artifacts and poor positioning

In unstable patients or crowded units, waiting for cross-sectional imaging isn’t always possible. Dual-energy imaging offers a practical, portable upgrade that meets this moment — with no change in workflow.

 

Mounting Pressure in Critical Care

Canada: Overcrowding and Capacity Strain

  • As of 2022–23, Canadian hospitals reported an average acute care occupancy rate exceeding 90%, leaving minimal surge capacity1.
  • “Exit block” delays persist—85% of ED directors cite a lack of admitting beds as a key bottleneck2.

 

United States: Resource Constraints and Throughput Challenges

  • U.S. ICUs average 68–75% occupancy, with projected increases to 85% by 20323, 4.
  • The U.S. sees 155 million ED visits annually; 3.1 million lead to ICU admission5.
  • 50% of EDs are routinely overcrowded, and ambulance diversions occur in one-third of hospitals6.
  • Up to 10% of patients leave before being seen due to wait times7.

In both systems, imaging delays can compound treatment delays. Rapid, reliable bedside tools are no longer optional — they’re essential.

 

Reveal 35C: Diagnostic Clarity at the Point of Care

Reveal™ Mobi Pro, powered by the Reveal 35C detector with SpectralDR® technology, delivers three co-registered images from a single exposure:

  • Standard radiograph (SE)
  • Bone-only view
  • Soft tissue-only view

These differentiated views enhance visualization of pulmonary and mediastinal abnormalities while reducing the need for follow-up imaging. And unlike traditional dual-shot methods, SpectralDR® is fully compatible with portable and upright use, requiring no workflow changes or additional radiation.

 

Proven Performance in the Field

  • 33% more pneumonia cases detected compared to conventional X-ray8
  • 43% improvement in lesion visibility when dual-energy views were included9
  • Up to 37% fewer follow-up CT scans needed in ICU workflows10
  • 57% increase in diagnostic confidence, with no added reading time11

 

Seeing the Unseen: Foreign Object Detection

Portable chest X-rays account for 40% of global imaging, but standard images often miss small or obscured foreign objects:

  • Over 50% of tracheal and 25% of bronchial foreign bodies are missed on initial radiographs12
  • Subtle objects like metallic foils or embedded glass may go undetected, especially in pediatric or trauma patients

Dual-energy imaging improves contrast separation, enhancing visibility of devices and hardware even in compromised imaging conditions.

Let’s Talk About Imaging That Works as Hard as You Do

Ready to bring dual-energy X-ray to your ICU or ED? Talk to our team about Reveal 35C integration and see how it fits your existing workflow—with no extra training or setup.

References

  1. Canadian Institute for Health Information. Hospital Occupancy Rate, 2023.
  2. Schull MJ, et al. Overcrowding in Canada’s emergency departments. CMAJ 2018.
  3. U.S. CDC National Healthcare Safety Network ICU Data, 2023.
  4. Kaufman BG, et al. Hospital Capacity and Future Needs. Health Affairs, 2024.
  5. U.S. CDC FastStats Emergency Department Visits. Accessed 2024.
  6. Joint Commission ED Overcrowding Data Brief, 2023.
  7. ACEP ED Boarding Report, 2022.
  8. Sanchez F, Kandel S, May M, Ronghe S, Rogalla P. Diagnostic value of dual-energy chest x-ray in immunocompromised patients to rule out pneumonia: initial results. European Congress of Radiology-ECR 2021, 2021.
  9. S. L. Maurino, K. S. Karim, V. Venkatesh. Diagnostic value of single-exposure dual-energy subtraction radiography in lung lesion detection: initial results. European Congress of Radiology-ECR 2022, 2022.Maurino SL, Karim KS, Venkatesh V. ECR 2022.
  10. Venkatesh V., Patel N., Clarke K., Karim K. (2024). Implementation experience of a portable single exposure, dual energy X-ray detector for use in the ICU of a community hospital. American Society of Emergency Radiology Meeting.
  11. Rogalla P., Karim K. Added diagnostic value of portable dual-energy chest X-ray in a non-radiological reviewing environment. Radiological Society of North America-RSNA 2022, 2022
  12. Wani M et al. Diagnostic accuracy of radiographs for foreign body detection. Int J Pediatr Otorhinolaryngol. 2017.

Note: The diagnostic case described is based on a real clinical image acquired with the Reveal™ 35C detector. The narrative has been adapted for illustrative and educational purposes, with no reference to identifiable patient information.