What the First Medical X-ray in Space Reveals About Access to Care

April 2025 marks a revolutionary moment in human history — the first medical X-ray being used in space. Due to concerns with radiation, as well as older X-ray machines lacking the capabilities needed for space travel, X-ray has been historically limited to use on Earth. 

The Reveal 35C is a great demonstration of modern X-ray’s capabilities and the promising future of medical imaging. Let’s explore the connection between this important moment in history and its impact on global access to care with X-ray technology. 

 

The SpaceXray Project

Thanks to its portability, small radiation dosage, and minimal power requirements, Reveal 35C was chosen for the SpaceXray project, which means the first medical x-ray in space is also proudly Canadian-made. 

With a radiation dose less than 0.1% of the career limit for astronauts, the Reveal 35C shows that medical imaging in space could soon go from impossible to standard protocol. In fact, that’s exactly what the SpaceXray Project aims to do — validate a protocol for diagnostic radiographs during orbital flight. The study will analyze bone mineral density measurements taken by Reveal 35C to monitor how space’s gravitational environment affects astronauts’ bones. 

 

What The First Medical X-ray in Space Says About Access to Care on Earth

It’s hard to consider X-ray imaging becoming a standard procedure in space travel when we have yet to make high-quality medical X-ray accessible on a global scale. Many people around the world, particularly in rural, remote, or impoverished regions, face significant barriers when it comes to receiving timely medical diagnosis and treatment. 

While the first medical X-ray in space is an amazing achievement that should be celebrated, it’s imperative that we address the healthcare gaps that exist in our world today. If we are now seeing medical X-ray images being taken in space, how can this impact accessibility in other underserved regions? This means addressing other historical X-ray limitations with innovative, modern technologies. 

 

Addressing X-ray Accessibility: How SpectralDR Expands Access to Care

X-ray is the most widely used imaging modality worldwide, offering a fast and cost-effective way to diagnose a range of conditions. In underserved regions where advanced imaging like CT may not be available, solutions like SpectralDR can help bridge the gap. By providing more diagnostic information from a single X-ray, SpectralDR-powered solutions can potentially help reduce the need for follow-up imaging, making care more efficient and accessible.

As highlighted in this study, X-ray remains the most feasible imaging option in low-resource settings due to its affordability and portability. To further improve accessibility, advancements such as portable and battery-powered X-ray systems, remote training programs, and telemedicine support are making it easier to deploy and sustain imaging solutions in remote areas. By leveraging these innovations, healthcare providers can expand access to essential diagnostic tools where they’re needed most.

 

Driving X-ray Accessibility with Reveal 35C Technology

Global accessibility of X-ray has been greatly improved by the introduction of portable, battery-powered imaging solutions. Portability enables X-ray deployment in non-traditional care settings, such as disaster zones, rural areas, and conflict-affected regions. For populations that must travel long distances for medical imaging, bringing advanced diagnostic capabilities directly to the point of care is critical.

KA Imaging’s Reveal 35C goes beyond portability by delivering SpectralDR, a patented single-exposure dual-energy technology that provides bone and tissue differentiation in a standard X-ray workflow. This can potentially reduce the need for additional imaging, which may not be available in underserved regions. The battery-powered operation further minimizes dependence on local infrastructure, while the low radiation dose makes it easier to implement in diverse care settings.

This approach is already making an impact. In August 2024, KA Imaging partnered with the Kenyan Kids Foundation Canada to install a Reveal 35C detector and an X-ray source in a remote area of Kenya. This initiative is providing dual-energy X-ray imaging to a region with limited medical resources, improving access to timely and accurate diagnoses.

Just as Reveal 35C has overcome the challenges of X-ray imaging in space, it is also transforming access to high-quality imaging on Earth—where it’s needed most.

 

Reveal 35C: The First Medical X-ray in Space

What made Reveal 35C become the first medical X-ray in space?

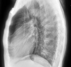
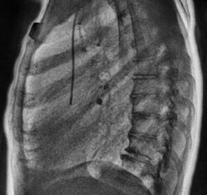
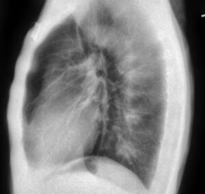
KA Imaging’s patented SpectralDR technology allows for clear differentiation between bone and soft tissue without motion artifacts, all within a single X-ray exposure. For example, in a chest X-ray, technicians can access an image of the lungs with the ribs subtracted. This greatly assists in diagnosis, removing obstructions (like bones) that can hide important medical information. Below is an example of three images produced with a single exposure using Reveal 35C. The example highlights a lateral view, not available with older dual-energy technologies:

soft tissue dual energy image spectraldr vs. bone suppression technology
dual energy CXR spectral dr vs. bone suppression technology
bone image dual energy image spectraldr vs. bone suppression technology

 

Combining these enhanced capabilities with portability and minimal energy needs means this high-quality imaging can be available on demand, from resource-scarce areas of the world to space travel. Reveal 35C facilitates timely and accurate diagnosis, with proven results in pneumonia detection, lesion visibility, and use in the ICU. 

Contact us to bring SpectralDR-powered solutions to your operations

Learn more