Single-Exposure Dual-Energy X-ray Imaging With Reveal 35C: A Game-Changer in Radiology

Thanks to the development of Reveal 35C with SpectralDR technology, dual-energy X-ray images can now be captured in just one exposure. Single exposure dual-energy technology is key to delivering high-quality clinical images with fast turnaround times, higher energy efficiency, and less radiation. In clinical environments, this innovation has the potential to assist diagnostics and improve patient outcomes by enabling more informed decision-making.

 

But what do you really know about dual-energy subtraction? Let’s explore the concept – from the different dual-energy approaches, to how the Reveal 35C works, what it can do, and how it outperforms older dual-exposure systems.

 

What is dual-energy subtraction in X-ray imaging?

Dual-energy enables material separation, which makes it able to accurately distinguish calcium from soft tissue, and see behind overlapping anatomical structures. For example, dual-energy can detect whether nodules are calcified or not, which is not as easily identified with conventional single-energy X-ray and bone suppression technology

 

How dual-energy imaging began: the Dual-Exposure method 

In a dual exposure system, two images are taken in rapid succession — one using 60 kV (low energy) and the other using 120 kV (high energy). The kV setting affects the image quality and the types of tissues or structures that can be clearly imaged. Soft tissue is better visualized at high energies, while bone is more distinctly visualized at lower energy levels. 

 

While dual-energy subtraction imaging can enhance diagnostic outcomes, dual-exposure methods remain niche for several reasons.

  • First, they require double the X-ray dose, raising patient radiation exposure — a concern in most clinical environments, which aim to minimize dose. Because of this, dual-exposure techniques are not suitable for lateral or other multi-view imaging.
  • Dual-exposure dual-energy always needs to be used with an X-ray grid, which helps improve the image contrast. However, the grid can also absorb some of the X-rays, and more radiation is needed to maintain image quality. There are also risks of motion artifacts, grid cutoff, and misinterpretation of the images as a result. 
  • Finally, dual-exposure dual-energy often requires a dedicated room and differs significantly from conventional workflows. This disrupts clinical routines and slows down diagnostics — a critical drawback in fast-paced environments like emergency departments. Additionally, portable imaging is not possible. 

 

How Reveal 35C Enables Single-Exposure Dual-Energy X-ray

Reveal 35C makes dual-energy in a single exposure possible with its patented triple layer design – known as SpectralDR technology. Each detector layer captures a different energy level, allowing one X-ray exposure to generate three separate images. These include: a high-DQE traditional DR image, a soft tissue image with reduced bone visibility, and a bone image with suppressed soft tissue. The bone images can highlight skeletal structures, high-calcium deposits, lines and tubes, and even retained medical devices in the body, while the soft tissue image makes it easier to detect masses and other lesions.

The Capabilities of Reveal 35C: Our Single-Exposure Dual-Energy X-ray Detector

Reveal 35C is the first and only portable dual-energy solution on the market today, capable of capturing three X-ray images simultaneously, each with a different energy level. This is achieved without motion artifacts and no additional radiation dosage, making Reveal 35C an intuitive dual-energy solution which overcomes common DE challenges. It doesn’t just provide high-quality X-ray imaging, but also improves diagnostic confidence by capturing a wide range of medical information in a single exposure. Many diagnostic indicators are obscured by overlapping bone, lines, or tubes, but dual-energy is capable of reducing the appearance of these obstructions. 

 

The portability of Reveal limits patient movement in emergency settings and enables bed-side patient care which enhances safety and comfort. If portability is not a need for your organization, fixed applications are also available. The technology is retrofittable on any fixed or mobile X-ray system. 

 

Reveal 35C’s Proven Results:

  1. 43% more lesion visibility
  2. 33% more pneumonia cases identified compared to conventional digital radiography
  3. Increased confidence in 57% of ICU cases
  4. Reduction in follow-up imaging in the ICU by up to 37%
  5. Better visualization of coronary calcium

How It Compares to Dual-Exposure Dual-Energy

Dual-energy in a single exposure solves many of the inherent issues present in dual-exposure dual-energy X-ray technology. Here’s a few examples: 

  • No mandatory grid: A grid is not required to obtain high-quality dual-energy images. Its use depends on the specific clinical technique, not the detector.
  • Seamless integration: Reveal 35C is retrofittable and compatible with existing X-ray equipment, minimizing workflow disruptions.
  • Truly portable: With SpectralDR technology built into the detector and requiring only a single exposure, Reveal 35C enables dual-energy subtraction in mobile and portable imaging for the first time.
  • Any view, any setting: It supports all standard views — PA, AP, lateral, and oblique — making it the first dual-energy X-ray solution to offer this flexibility.

 

Reveal 35C: Single-Exposure Dual-Energy in Action

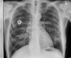
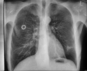
The case below showcases a traditional DR and two dual-energy X-ray images taken in a single exposure by Reveal 35C in PA view. While this example uses a PA view, Reveal 35C supports all imaging views — including lateral and oblique. From left to right: traditional DR, soft tissue, and bone image.

PA X-ray image taken by single-exposure dual-energy X-ray system Reveal 35C
PA soft tissue image taken by single-exposure dual-energy X-ray system Reveal 35C
PA bone image taken by single-exposure dual-energy X-ray system Reveal 35C

Frequently Asked Questions about Dual-Energy X-ray Imaging 

 

How Does Single-Exposure Dual Energy Work?

Single-exposure dual-energy imaging captures data at two different energy levels simultaneously rather than sequentially, improving both workflow efficiency and image quality. This approach uses a single X-ray exposure, during which the source emits a broad spectrum of X-ray photons. The Reveal 35C, the only detector that can deliver single-exposure dual-energy imaging, can differentiate between high- and low-energy photons, enabling material decomposition (e.g., separating bone from soft tissue) without the need for multiple exposures.

 

In the past, dual-energy was only possible with two separate exposures, a low-energy exposure (60 kV) and a high-energy exposure (120 kV, or double the energy). This is known as dual-exposure dual-energy.

 

What are the Benefits of Reveal 35C?

Overall, the primary benefit of single-exposure dual-energy solutions like Reveal 35C is that it overcomes a lot of the limitations dual-energy is known for (when using other methods like dual-exposure). Some of the benefits of using a single-exposure dual-energy system like Reveal 35C are:

  • Standard radiation dose – no increase compared to a conventional chest X-ray
  • Seamless integration – retrofittable and compatible with existing workflows
  • No motion artifacts – eliminates issues caused by patient movement between exposures

 

All of this makes implementation far easier than with traditional dual-exposure dual-energy systems. 

 

Does dual-energy subtraction increase radiation exposure?

Not with single-exposure dual-energy solutions like KA Imaging’s Reveal 35C. It uses the same radiation dose as a standard chest X-ray while generating three images (conventional, soft tissue, and bone) in one shot. This means you get significantly more diagnostic information without increasing the dose.

Traditional dual-energy systems, on the other hand, require two exposures—effectively doubling the radiation—so it’s important to know what kind of dual-energy technology is being used.